Tomorrow is the one year Anniversary of my Brain Surgery at Johns Hopkins. It’s been a really hard year but I am proud of the progress and adjustments I have made. It’s been quite a ride π
I encourage anyone who has similar symptoms to get an MRI. Acoustic Neuroma is a very slow growing skull base tumor and if caught early enough there are non-surgical options.
Diagnosis
For the previous several years I out of the blue started getting symptoms of bad panic attacks. Feeling dizzy, like I was going to pass out. I started getting strange ocular migraines as well like lightning bolts in my vision. The doctors said it was all stress and anxiety and I couldn’t argue with them – I have been through a lot personally and professionally. So I dealt with it – everywhere I went I felt like I could pass out at any time – it became a new normal.
I also had tinnitus for several years, but I blamed myself. I did a lot of DIY work, and rarely wore ear protection. One weekend I was doing a lot of work with a gas framing nailer and I had very persistent tinnitus. I went to ENT and was told it may get better in time. I noticed that I had slight hearing loss in my right ear – things like not hearing the alarm clock in the morning, but again though it was due to my own negligence.
Until one day in mid July 2018. I was working at home and my wife Tricia and kids were at Disney World in Florida. I felt light-headed and laid down for a few minutes as I frequently had to do. This time, when I got up I looked at my phone and couldn’t put a face to names of colleagues who I had known for years – I didn’t know who they were. Scared – I tried reading something aloud – my words were slurred and I couldn’t pronounce words properly. I was having a stroke – or at least that was what I thought.
I called my wife and I said I think I just had a stroke – she was like what? Not something you expect to hear. I said I just need to go the hospital and our friend Marie was able to drive to to the Emergency Room at Greater Baltimore Medical Center. They triaged me and got me right in for a CT scan. I had multiple other tests on my heart and was in a room in the ER. By that time, my Parents and my Wife’s parents had arrived. A bunch of doctors came in and I knew that wasn’t a good sign.
They said well you didn’t have a stroke but you have a very large mass on your brain. WOW. Not what I expected. I just remember I broke out crying. At that point we had no idea if cancerous or not, and I know the prognosis for brain cancer is not good. I pulled it together and asked for some more details. They didn’t know much since not a great image with a CT scan – they got me in for a MRI.
I have never had an MRI before, so I had no idea what to expect. My friend Ted was there and came down to the waiting area with me. I squeezed into a tiny tube for almost an hour, my mind racing with what was ahead of me.

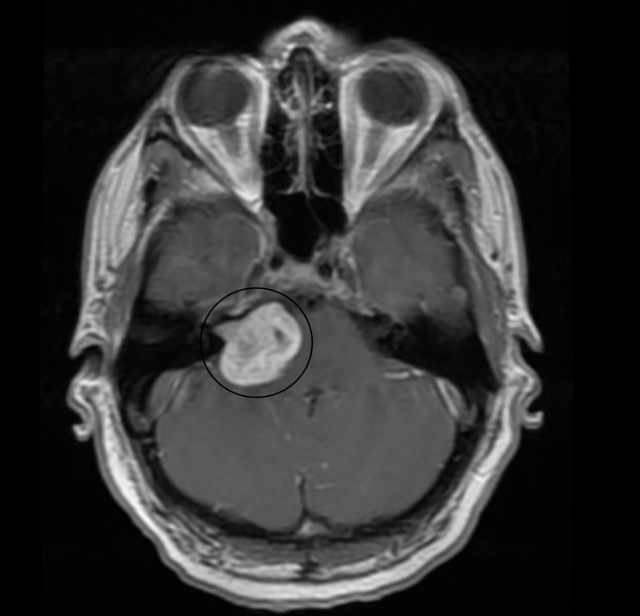
37mm Acoustic Neuroma brain tumor – pushing on my brain stem and you can see it going into my ear canal.
The MRI confirmed that this was indeed a large brain tumor and they were pretty confident it was an Acoustic Neuroma or Meningioma. I asked about operating – they weren’t sure because it was displacing my brainstem by 2-3mm and was near a large artery. I would need to go to a tertiary surgical hospital that specializes in brain surgery. It was all a bit unreal. My wife Tricia and the kids flew back that night from Florida.
Planning
I live in Baltimore and very close to one of the best hospitals in the world–Johns Hopkins. My wife called them the following Monday and sent over my MRI. They called back that they thought it was an Acoustic Neuroma and they would determine who would be best for my surgery. A week or so later they called and said Dr. Rafael Tamargo would be doing the surgery and the first availability was October 16. I couldn’t believe it was so far out, but in reading about the tumor they grow very slowly. I researched Dr. Tamargo and he seemed like an amazing person and surgeon. That helped.
I met Dr. Tamargo in August and he looked at my MRI again. He said my tumor was classified as “giant”, which scared me a bit. But large tumors were something he was familiar with. He explained the process and told me in no uncertain terms that recovery was going to be very difficult. He explained how the tumor grows on the right side balance nerve and they had to remove it. He told me I would lose the hearing in my right ear permanently. That was the hardest and scariest thing of all. He also said, depending on how “sticky” the tumor is I may have temporary or permanent facial paralysis. He was awesome – I felt good about that aspect at least.
The next couple of months were kind of a blur. It is scary to know for a fact you are going in for major brain surgery and that you will lose hearing, a balance nerve and your face will be affected.
Surgery – well the first
October 16, 2018 finally rolled around and at this point I was ready for the surgery. They prepped me with a couple IV’s and an A-Line which is a larger IV directly into an artery to monitor your heart rate in real time – that thing hurt.
I said goodbye to my wife and parents and laid on the gurney. I knew it was my last time hearing out of the right side so I tried to focus on that one more time. I was talking to one of the anesthesiologist and he wheeled my into this huge operating room with two large TV’s with images from my MRI. There were probably 10 people already in the room – they moved me over to the operating table. I remember all of the cold gel packs on the table. Well – this is it. I went out.
13 hours later I felt like I was dreaming and I heard Dr. Tamargo calling to me. “Chris….Chris…we got it all, it was what we thought. It was benign and I saved your facial nerve”. Great news!
They wheeled me into the Intensive Care unit and I saw Tricia, Ted and my Parents (well I heard them I couldn’t see anything). I remember my friend Ted went over to my right side and almost passed out – the scar was huge and there was blood everywhere. They left for the night and the next two day were surreel. I don’t remember much – I just had horrible vertigo from the right side balance nerve being cut and my head was just ringing. The room was just spinning and I couldn’t get comfortable no matter what.

Two days after the first surgery
The right side of my face was totally paralyzed which made eating or talking nearly impossible. My right thumb also had no feeling and my right side was extremely weak. I couldn’t use a spoon or sign my name as I found out before a post-op MRI. Since my right eye wasn’t closing properly they put a 3gm platinum weight in my eyelid – this was my first experience with Dr. Boahene – an amazing plastic surgeon.
I was in the hospital just about a week, working on learning to walk again and doing other vestibular exercises to get the left side balance nerve to compensate for the now missing right side nerve. I just wanted to go home though.
Going home! Shirt my friend Marie made for me
Second Surgery
Being home was not easy. I couldn’t go anywhere or do anything without Tricia’s help and my neck was so stiff I could really only look straight ahead. I couldn’t sleep. Then Tricia noticed something odd about my incision. It was leaking fluid. We called and got right into the ER at John Hopkins. My sodium level was very low so they moved me into the Intensive Care unit. I had another MRI and Dr. Tamargo was quite certain that I had a CSF (Cranial Spinal Fluid) leak and possibly an infection. They need to re-open the incision and see what was going on. But they needed to get my sodium level back up first.
On Halloween 2018 I was scheduled for surgery. I went in that afternoon into a much smaller operating room. I woke up a couple hours later and Dr. Tamargo told me it was one stitch that was leaking on the dura and they got it. I have heard that stiching the dura of the brain is like stitching together saran wrap. They did have to remove the titanium plate I had initially over the hole in my skull because of infection worries. I actually felt ok after that surgery and my neck felt much better without several pints of CSF fluid hanging out. I stayed in intensive care for a few more days on a IV cocktail of the most powerful antibiotics that Johns Hopkins has. I started feeling a little better, considering.

After the second surgery
Recovery

Back Home
I was in the hospital for about another week (antibiotics, blood transfusion) but overall feeling much better. I was starting to walk around the hallway with Tricia’s help and just ready to go home. I went home and started working on recovery – it all was so hard and took time. My face was still totally paralyzed for about 6 months, then we saw a small twinge in my cheek!

Basketball game 4 months after surgery with my friend Stephane
It continued to improve and I got cros hearing aids to help me when at work events. They are pretty amazing. The right side is just a microphone and it transmits wirelessly to my good ear so I can hear in very loud environments. Otherwise it just sounds like a bunch of noise. Today I am 1 year post op. I had my 1 year MRI and everything looks great. I still have some facial paralysis, but I do exercises and I hope it will fully come back. Dr. Tamargo said it could take up to two years – he is confident it will all come back in time.

11 months post op at a Football game with my friend Ted
I am thankful to be where I am today. I couldn’t have done it without my wife Tricia, my family and my amazing colleagues and friends. I am thankful to have had such a great surgical team at Johns Hopkins – Dr. Tamargo, Dr. Chien, Dr Boahene and all of the wonderful nurses and support staff.
